You can see from my running log that something is going on… I have got exciting running news, but wanted to write about this first. The last red blob was the Bolton Abbey half. On the Wednesday after I was on a slow recovery run and a pain in my right foot built up about half way through, I had to limp home in the cold.

It had swollen up and I found it hard to walk. After a weeks rest to get better I saw the GP thinking maybe something was broken and I had a few other things to talk about.

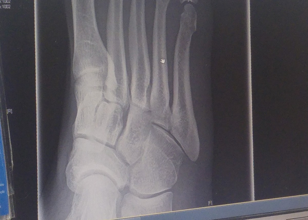
Anyway, I got an x-ray and they didn’t think it was a fracture. It could be but the type of fracture might not show up this early. Given an examination though they reckoned it was not a break.
I got compensation straight away, as I really enjoyed marshalling with someone at the new Fletcher Moss Parkrun. By the way, there is now a Parkrun at Fletcher Moss!
To try not going more mad that usual I have joined the gym, and manage to use the cross-trainer without effecting the foot too much. I have been enjoying that but worried I am now too good for the machine, I was going for a PB on Wednesday and the machine just turned off, I lost all the progress. I did another few minutes at the same level and it turned off again… I guess that is quite cool and if true gives me some bragging rights. But would prefer it to work 🙂 Maybe I need to move onto the bike but I always find that really boring and un-motivating in the gym. It has been hard not being able to walk either, as a walk with an audiobook helps just getting out of the flat.
Also thanks to my friend Sam who gave me a pair of crutches, which really come in handy! I seem to get to a point where I can walk fine, like yesterday, but then pay for it when I get back.
I also got lucky in the fact that the World Chess Championship was on as I was injured.
I haven’t been too good mentally the last few weeks but it hasn’t been because of the injury, I know I’ve let a few people down.. Overall I have managed this injury much better than before. It hasn’t got to me as bad. As the injury drags on I am getting more worried but nothing too bad. One trick was joining the gym sooner, a lesson I learned from my previous injuries when I always wished I had done it quicker. I think having the 3 HM’s 1 month apart was quite stressful for me so a rest physically and mentally from running should be a good thing, especially when I tell you what I am doing next!
Love you all!!!
